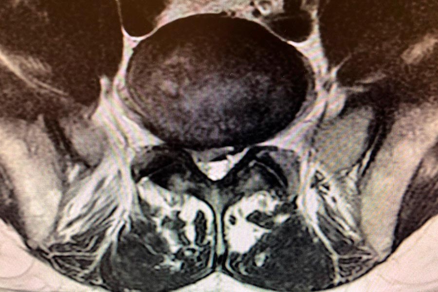
Caso clínico de Hernia en el disco L5S1 lateralizada

Caso clínico

Hernia discal lateralizada

En este caso, el Doctor Elgeadi se encarga del tratamiento, con una tecnica de cirugía mínimamente invasiva, de localizar y extraer una hernia discal, de pequeño tamaño en la L5S1.

Preoperatorio

A pesar de que el tamaño de la hernia es bastante pequeño, el paciente sufre molestias en el tren inferior, con dificultades a la hora de caminar o hacer esfuerzos con las piernas.

Operación

Se procederá a realizar una cirugía de columna mínimamente invasiva, con una incisión mínima de unos 2 mm, que dará acceso a la hernia en cuestión y permitirá acabar con los dolores el paciente.

La operación de extracción de la hernia durará aproximadamente unos 40 minutos.

hernia-discal-l5si-lateralizada
cirugia-discal-mínimamente-invasiva

Postoperatorio

El paciente podrá salir del hospital por su propio pie y sin dolores en cuanto se le pasen los efectos de la anestesia y se previene que la recuperación será rápida y sencilla.

es_ES