Estenosis de canal central

Caso clínico

Estenosis de canal central

En el caso que os traemos hoy, nos encontramos con un paciente que sufría una impotencia funcional que le impedía realizar su vida diaria con normalidad.

Preoperatorio

Además presentaba una limitación a la hora de andar que había ido en progresión y que le provocaba un gran sufrimiento al no ser capaz de realizar muchas de las tareas cotidianas que antes realizaba con normalidad.

A todo ello hay que sumarle el dolor que los pacientes aprenden a llevar como si no les quedase más remedio que acostumbrarse a él.

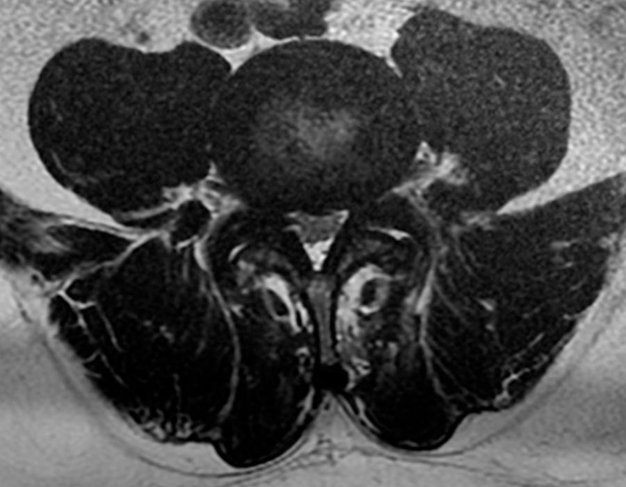
Tras la observación del caso, diagnosticamos una estenosis de canal central L4L5 con signos de compresión radicular en el territorio de L4L5 y L5S1 lo que provocaba una claudicación neurógena y le estaba impidiendo andar con normalidad.

Con la realización de una resonancia magnética observamos además una severa degeneración del disco mencionado y una hipertrofia facetaria acompañando a la estenosis de canal detectada anteriormente.

Concluimos que la mejor opción para el paciente era la cirugía como tratamiento para la hernia discal lumbar.

Estenosis de canal central
Vision endoscopia del canal cervical

Operación

Comenzamos la operación realizando un abordaje interlaminar posterior con una aguja guía que nos ayuda a acceder al ligamento amarillo de forma bilateral.

Una vez hemos ubicado la zona en la que vamos a trabajar se realizan hemilaminectomías superiores también bilateralmente. Este proceso debemos hacerlo hasta haber comprobado la adeucada liberaicón del canal y de las estructuras neurológicas que antes estaban comprometidas.

Todo este proceso se practica durante una operación con anestesia general suave que no llega a la hora y media de duración.

Cirugia endoscopia de columna

Postoperatorio

Tras dos horas de cirugía, que transcurre sin ninguna complicación, el postoperatorio transcurre sin incidencias y el paciente comienza pronto a caminar de forma normal y sin notar dolor.

Él mismo comunica la desaparición del dolor que sufría en ambas piernas de forma progresiva, lo que le permite permanecer de pié y caminar como lo habría hecho antes del proceso compresivo. El paciente puede volver a su vida normal de forma progresiva, abandonando el hospital con un tratamiento recetado de medicación suave que tomará de forma oral.

es_ES