Cirugía avanzada de columna cervical | ICAC

Caso clínico

Cirugía avanzada de columna cervical

Caso de extrema dificultad en el que nos encontramos con un paciente de 59 años de edad que aqueja un gran dolor crónico cervical así como parestesias en MMSS, hormigueo en los miembros superiores, bilateralmente.

Se aprecia un progresivo deterioro del estado general por el dolor provocado por las contracturas musculares que dificultan al paciente realizar su vida diaria.

Preoperatorio

En el ultimo año el paciente sufre un progresivo deterioro funcional y un aumento gradual del dolor que le condiciona y le dificulta la conciliación del sueño, así como realizar sus actividades cotidianas.

Tras realizar la exploración clínica correcta, así como analizar el estudio RMN y RX, se objetiva una estenosis de canal severa a nivel de 4º y 5º de las vertebras cervicales. También se observa una estenosis de forámenes bilateralmente entre las vértebras 6ª y 7ª, además de una hernia discal cervical en C4C5.

Al nivel de C5C6 el paciente presenta una fusión natural que probablemente haya sido la causa del deterioro progresivo en los niveles adyacentes y del intenso dolor que sufre.

Tras el fracaso del tratamiento medico y RHB, se le comunica al paciente la necesidad quirúrgica ya que se valora como la mejor opción para los avanzados daños en la columna que sufre.

cirugia avanzada de columna cervical
cirugia avanzada de columna cervical

Operación

De cara a la operación se le objetiva:

  • Mielopatía C4-C5 con discopatía severa y osteofitosis posterior.
  • Fusión Klipel Feil C5-C6
  • Discopatía severa C6-C7 con estenosis foraminal y osteofitosis posterior y barras osteofitarias laterales

Tras los cual se le realiza:

  • Discectomía anterior C4-C5 y artrodesis intersomática con PEEK titanio e injerto autólogo y placa ABC , añadiendose Cobertura dural con Lyoplant
  • Discectomía anterior C6-C7. Foraminotomía bilateral/barras osteofitarias y artroplastia C6-C7 Activ C
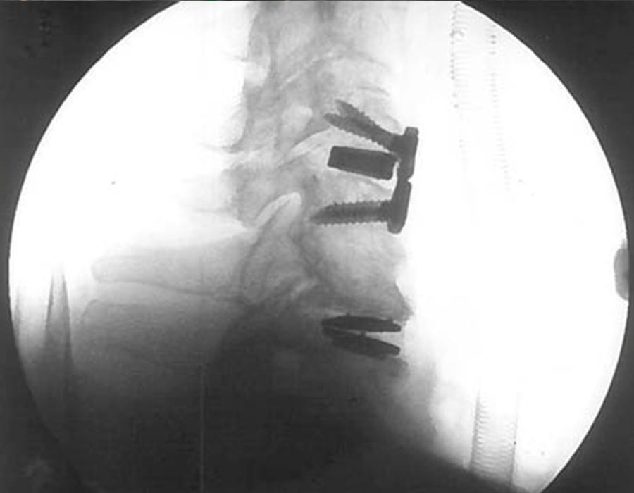
  • Se objetiva control radiológico satisfactorio.
cirugia avanzada de columna cervical

Postoperatorio

  • El paciente se despierta sin sentir prácticamente ningún dolor y con movilidad cervical completa transcurridas dos horas de la operación
  • A las 4 horas es capaz de incorporarse e ingerir los primeros alimentos
  • Se le anima a realizar pequeños paseos sin corsé y no presenta dolor ni limitaciones al realizarlos. Sólo con 4 horas de recuperación
  • Tras 24 desde la cirugía el paciente abandona el hospital con el alta médica. Habiéndosele prescrito medicación suave de forma oral y sin prácticamente ninguna molestia.
es_ES