Mielopatía | ICAC

Caso clínico

Mielopatía

En este caso clínico concreto, nos encontramos ante un paciente varón de 58 años que, tras sufrir una caía desde 1,5 metros, llega a urgencias aquejado de paresia distal de las extremidades superiores. Se le realizan una serie de pruebas a su llegada para un mejor diagnístico, cuyos resultados son:

Preoperatorio

  • Radiografía muñeca izquierda: fractura de extremidad distal radio no desplazada.
  • Electroneuromiograma: signos de lesión de vía cordonal posterior a las 4 extremidades, con mayor afectación a miembro inferior izquierdo y con nivel de lesión en médula cervical C7. Signos de lesión neurogénica crónica en territorio correspondiente a miotomas C5 y C6 bilateral de grado leve-moderado y de grado moderado-severo en C7 bilateral. Pérdida severa de unidades motoras en territorio correspondiente a miotoma C8-T1 derecho de origen central.
  • Resonancia Magnética Cervical: voluminosas hernias discales cervicales C4-C5, C5-C6 y C6-C7 con estenosis del canal espinal central más acusado en C5-C6 y mielopatía cervical C5-C6.

El paciente evoluciona con paresia distal de extremidades superiores con balance muscular global 4/5. Los reflejos osteotendinosos están conservados y simétricos, sin alteraciones sensitivas y discreta amiotrofia de la musculatura intrínseca de la mano derecha.

Se trata de una afectación medular (mielopatía) por estenosis del canal medular en relación a la compresión de la médula por las hernias cervicales.

Debido a la afectación clínica neurológica requiere intervención quirúrgica de la columna cervical para descomprimir la médula espinal.

En relación a la fractura de la extremidad distal del radio, no se encontraba desplazada y se realizó tratamiento ortopédico con yeso antebraquial con muy buen resultado clínico y funcional.

mielopatia-cirugia-de-columna-vertebral-en-madrid
disectomia-protesis-cervicales-en-madrid

Operación

Operamos al paciente mediante una técnica de endoscopia mínimamente invasiva sin producir ningún daño en sus tejidos.

Bajo anestesia general y en posición decúbito supino se realizó un abordaje anterior izquierdo longitudinal por borde interno del músculo esternocleidomastoideo.

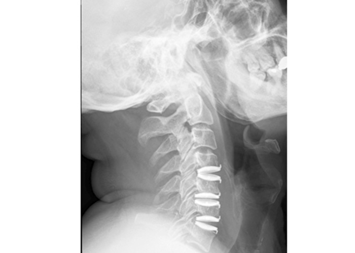
Se comenzó por el nivel C6-C7, se completó discectomía, resección de los osteofitos óseos posteriores y del ligamento vertebral común posterior. Se liberó ambos forámenes C6-C7, bilateralmente, implantándose prótesis de Bryan (Medtronic). Se realizó nuevamente la técnica en los niveles C5-C6 y C4-C5, liberando ambos forámenes y voluminoso osteofito posterior del borde inferior de C5.

Postoperatorio

La evolución postqurúrgica fue satisfactoria, cursando alta hospitalaria a las 48 horas.

Ha requerido seguimientos evolutivos en relación a la afectación de la compresión medular.

Progresivamente recuperó la fuerza y la hipoestesia en las extremidades.

En el estudio neurofisiológico realizado a los 4 meses, la exploración de la vía cordonal posterior es normal en ambos miembros superiores e inferiores.

es_ES