Cuando hablamos de un tumor, nos referimos al crecimiento anormal de un grupo de células que no cumplen ninguna función fisiológica. Esta masa de tejido tiende a invadir distintas zonas del cuerpo, dependiendo dónde haya surgido y puede resultar maligno o benigno según su evolución. Por ello, es fundamental prestar atención a los síntomas y obtener un diagnóstico a tiempo para abordar el problema de manera efectiva antes que progrese.
Qué es un tumor de la médula espinal y qué tipos existen
Un tumor de la médula espinal es una masa anormal que crece dentro del conducto vertebral interno o por debajo de los huesos vertebrales. Estos tumores pueden ser benignos o malignos, y su ubicación afecta directamente la función nerviosa, pudiendo causar síntomas como dolor, debilidad o problemas de movilidad.
Para un pronóstico y tratamiento eficaz es indispensable identificar el tipo de tumor. Estos se clasifican según el tipo de célula que lo origina (como astrocitos, ependimocitos, entre otros), el grado de crecimiento del tumor, las mutaciones de las células tumorales y el lugar donde se ha originado el tumor, ya sea el encéfalo o en la médula espinal.
Tipos más frecuentes de tumores intradurales y sus principales características
Teniendo en cuenta los factores mencionados anteriormente, es posible diferenciar los siguientes tipos existentes de tumores en médula espinal, también llamados tumores intradurales:
Gliomas:
Son tumores que se originan en las células gliales, las encargadas de rodear y ayudar a funcionar a las células nerviosas. Dependiendo del tipo de célula glial involucrada, los gliomas pueden clasificarse en astrocitomas, oligodendrogliomas o ependimomas, lo que determina sus características y desarrollo. Estos tumores pueden variar en agresividad y sintomatología según el subtipo y su clasificación.
Meningiomas
Este tipo de tumor se desarrolla en la membrana que rodea la médula espinal y el cerebro, conocida como meninges. Aunque técnicamente es un tumor de la médula espinal, uno de sus principales efectos es la presión sobre el cerebro y los vasos que lo rodean. Los meningiomas suelen ser más frecuentes en mujeres y tiene un crecimiento muy lento, con una sintomatología sutil que lo hace muy difícil de diagnosticar.
Cordoma:
Es un tipo de tumor canceroso que aparece más frecuentemente en personas de sexo masculino y se desarrolla en la región cervical de la columna vertebral, más específicamente en la base del cráneo. Su ubicación lo hace muy complejo de tratar. Los cordomas pueden causar síntomas graves debido a la presión que ejercen sobre estructuras nerviosas cercanas.
Neurofibroma:
Por lo general este tipo de tumor es benigno y se caracteriza por el crecimiento en forma de bultos alrededor de los nervios, que pueden ser palpables debajo de la piel. Los síntomas suelen solo aparecer cuando el tumor ejerce algún tipo de presión en el nervio, causando dolor, hormigueo o entumecimiento en la zona que ese nervio irradia. Ocurre con mayor frecuencia en personas jóvenes entre los 20 y 40 años de edad.
Schwannoma:
Es un tipo de tumor benigno que se origina en la vaina nerviosa. También conocido como neurinoma intramedular, es muy poco frecuente. Aunque suele ser de crecimiento lento y pronóstico favorable, puede causar síntomas neurológicos si presiona los nervios cercanos.
Síntomas de que existe un tumor en la médula espinal
El principal síntoma de un tumor en la médula espinal es el dolor de espalda. No obstante, los dolores de espalda son frecuentes y ocurren por múltiples causas, por lo que es importante realizarse revisiones periódicas con un traumatólogo especialista en columna vertebral. Además, es importante tener en cuenta los factores de riesgo que pueden aumentar las posibilidades de desarrollar un tumor, como la edad o los antecedentes familiares.
Asimismo, si presentas cualquiera de los siguientes síntomas, no dudes en consultar a un médico:
- Dolor de espalda.
- Pérdida de la sensibilidad.
- Pérdida de control de la vejiga e intestinos.
- Debilidad muscular, que puede afectar diferentes partes del cuerpo.
- Dificultad para caminar.
- Mareos, desmayos o debilidad progresiva.
- Dolor intenso y progresivo.
Diagnóstico de un tumor espinal o intradural
Los tumores espinales o intradurales suelen presentar síntomas leves, por lo que son muy difíciles de diagnosticar. Por ello, es crucial contar con un médico traumatólogo especialista y de confianza que conozca la historia clínica del paciente y su progreso.
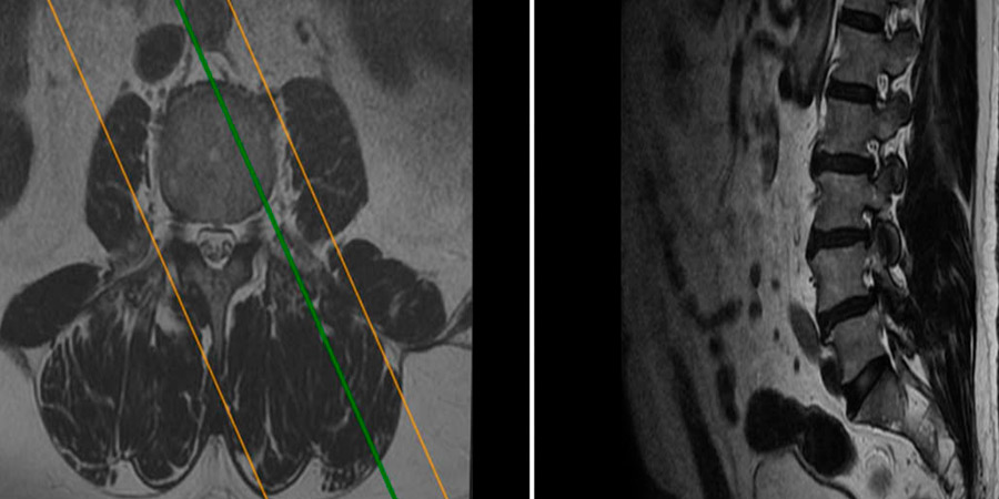
Para determinar la existencia de tumores o de cualquier otra enfermedad que pueda desarrollarse, el médico solicitará pruebas diagnósticas por imagen como una resonancia magnética o una tomografía computarizada. Estos estudios permiten visualizar la localización exacta del tumor y evaluar su tamaño y características.
Si se detecta un tumor, se procederá a realizar una biopsia para poder determinar el origen del mismo y sus características, lo que le permitirá al médico definir el tratamiento a seguir.
Tratamientos existentes para tumores en la médula espinal
Una vez confirmado el diagnóstico, el equipo de médicos evaluará cuál es el mejor tratamiento a seguir. Idealmente el objetivo será eliminar por completo el tumor, aunque los especialistas tendrán en cuenta la edad, la agresividad del tumor y los riesgos del tratamiento para decidir entre las siguientes alternativas:
- Supervisión: si el tumor es benigno y no está afectando funciones nerviosas ni otros tejidos, es probable que el médico opte por realizar un seguimiento periódico. Esto implica realizar controles con resonancias magnéticas o tomografías para monitorizar el progreso del tumor. La intervención solo se considera si el tumor comienza a crecer o causa síntomas.
- Cirugía de columna vertebral: las técnicas quirúrgicas han avanzado notablemente, permitiendo la extirpación de tumores con mayor precisión y menores riesgos. La cirugía es una opción en casos donde los tumores son accesibles y se pueden eliminar sin comprometer estructuras vitales. Para garantizar un resultado óptimo, es crucial que el procedimiento sea realizado por un cirujano especializado en columna vertebral.
- Radioterapia: una vez extirpado el tumor, puede utilizarse la radioterapia si ha quedado algún resto. También se utiliza como tratamiento para aquellos tumores que por una cuestión de riesgos quirúrgicos no se pueden operar o deciden no arriesgarse a una cirugía peligrosa.
- Quimioterapia: este tratamiento se utiliza para tumores malignos y, en ocasiones, se combina con radioterapia. La quimioterapia consiste en el uso de fármacos para destruir células cancerosas.
Es importante señalar que no existe un tratamiento que sea mejor que otro, sino que la decisión dependerá de las características individuales del tumor y del paciente. Asimismo, es importante asesorarse con los mejores especialistas en el proceso de seguimiento una vez quitado el tumor. Puedes leer más sobre el seguimiento y “la vida después del tumor” en este artículo.
¿Qué riesgos tiene una cirugía de médula espinal?
La cirugía de médula espinal es un procedimiento delicado y complejo, ya que involucra estructuras críticas como los nervios y la columna vertebral. Debido a esta complejidad, existen ciertos riesgos asociados, como las complicaciones postoperatorias. Sin embargo, los avances de técnicas quirúrgicas y el uso de tecnologías como cirugías mínimamente invasivas han reducido significativamente estos riesgos.
Es fundamental realizar este tipo de procedimiento en centros especializados en cirugías de columna vertebral, donde el equipo médico cuente con la experiencia necesaria y utilice los últimos enfoques.
Pronóstico de los tumores intramedulares
El pronóstico de los tumores de médula espinal depende de diversos factores, como el tipo de tumor, su ubicación, la velocidad de crecimiento y si es benigno o maligno. Para obtener una evaluación precisa, es importante contar con la valoración de un médico especialista. La detección temprana, la intervención adecuada y un seguimiento médico cercano son claves para mejorar el pronóstico de los pacientes con tumores intramedulares.
Para más información consulta con nuestro equipo de profesionales en columna vertebral.


16 comentarios en «Tumor en la médula espinal: síntomas, diagnóstico y tratamiento»
Buenos días amigos Ami me operaron de un tumor en la médula ala altura de la t3t4yt5 ya hace tres años pero me quedo mucho dolor en la zona lumbar y del pecho las piernas parece q me fueran a reventar q me puedo hacer para estos dolores q me dan día y noche constante mente gracias
Hola Orlando,
Habría que tener más datos sobre tu cirugía, cómo fue y cómo es tu evolución.
Necesitamos más información para poder decirte algo.
Saludos
esque ca peux etre qui vivre longtemp apres les traite ment merci
Bonjour Marie,
L’espérance de vie après le traitement d’une tumeur à la moelle épinière dépend de plusieurs facteurs, tels que le type de tumeur, sa localisation et la réponse au traitement. Il est préférable de consulter le médecin traitant pour obtenir une évaluation personnalisée.
Cordialement
Hola soy Rafaela me an detectado un nodulo intraduraly extradural a la altura l5 me podrías decir que significa esto y que tratamiento tiene esto por favor
Hola, Rafaela.
Un nódulo intradural y extradural significa que hay una masa que se encuentra tanto dentro como fuera de la dura madre a la altura de la vértebra L5. El tratamiento depende del tamaño, ubicación y naturaleza del nódulo. Puede incluir observación, cirugía o tratamientos específicos como radioterapia. Te recomiendo consultar a un neurocirujano para una evaluación detallada y un plan de tratamiento adecuado.
Puedes llamar al 91 005 39 00 para una cita con uno de nuestros especialistas.
Saludos
Bonjour, je viens d’apprendre que j’ai une masse solide intramédullaire à D6-D7 de 4 mm. J’aimerais savoir quels sont les symptômes qu’une telle masse m’affecte. J’ai eu un accident, fracture D11 il y a 7 mois et j’ai des douleurs lombaires depuis, elles sont progressives au cours de la journée, partant de 1-2 le matin, allant jusqu’à 8 le soir. Je dois avoir un rendez-vous avec un neurochirurgien assez rapidement, dans les semaines qui viennent. Je lis que la solution serait d’opérer, mais si mes symptômes de douleur lombaire n’y sont pas associés, je ne vois pas quels sont les symptômes que je serais censée avoir. Le seul symptôme potentiel serait des pertes urinaires lorsque mes douleurs lombaires sont très importantes. Je prends du Prégabalin (Lyrica) depuis plusieurs mois à 100mg le matin et 125 le soir. Aucun soulagement de la douleur lombaire ou très peu. J’aimerais vraiment savoir si ces douleurs lombaires peuvent être associées à cette tumeur? Merci.
Bonjour Patricia,
Veuillez nous contacter en cliquant ici pour demander un rendez-vous et traiter votre cas en privé.
Salutations
Es bueno esperar cuando el especialista dise creer el tumor Es benigno y el otro dise que es muy dificil de intervenir.mis sintomas son piernas algo debiles.gracias!!!!
Hola Mario,
Te recomendamos realizar todas la consultas necesarias ya que en estos casos lo mejor es tener más de una opinión médica.
Puedes solicitar tu consulta en nuestro centro llamando al 91 005 39 00
Saludos
Hola, mi hermano de 26 años le detectaron un tumor el la l12 dentro de la médula y le hicieron una cirugía, pero perdió la movilidad de las piernas y tiene problemas para hacer el baño, y en las últimas semanas dice que le cuesta mucho poder comer, ya no sabemos que hacer somos de escasos recursos, hemos vendido lo poco que teníamos, estamos muy preocupados, somos de Bolivia
Hola Fabiola,
Lamentamos mucho la situación de tu hermano y entendemos lo difícil que debe ser para toda la familia. El proceso de recuperación tras una cirugía en la médula espinal puede ser complejo, y es importante contar con un seguimiento adecuado para evaluar las opciones de rehabilitación y manejo del dolor, que son fundamentales para ayudar a recuperar su calidad de vida. Te enviamos mucha fuerza y ánimos en este proceso, y esperamos que puedan encontrar el mejor apoyo para su recuperación.
Saludos.
Hola , mi papá fue operado el 2019 de un tumor en la médula , la última resonancia que se hizo este año dice esto….”Control de ependimoma operado con cambios postquirúrgicos de acceso posterior L1-L3 no recientes. Lesión expansiva intrarraquidea intradural que ocupa el fondo del saco tecal a nivel L5-S2, de mayor tamaño respecto a RM del 19/01/2020, sugerente de diseminación de primario tratado.
Discopatías y protrusiones cervicales, dorsales y lumbares según descripción.
Espondilosis y artrosis facetaria de predominio dorsolumbar.
En palabras más simples que significa… tenemos dudas…
Gracias
Hola Katherina,
Es importante que los estudios sean evaluados por un profesional en consulta para que pueda explicar en detalle lo observado. Además, deben analizarse junto con estudios previos y el médico que lleva el caso.
Si deseas una segunda opinión, uno de nuestros especialistas puede revisar los estudios no dudes en agendar una cita.
Saludos.
سلام عليكم
لدي ورم حميد(حسب الرنين المغناطيسي) لكن حجمه كبير و هو ملاصق للحبل الشوكي في منتصف الفقرات الظهرية.
ما الإجراء المناسب.
السلام عليكم،
يعتمد النهج المناسب على عدة عوامل، مثل الحجم والموقع الدقيق وتأثير الورم على الحبل الشوكي. لتحديد الإجراء الأنسب، من الضروري أن يقوم أخصائينا بتقييم حالتك.
إذا كنت ترغب، يمكنك حجز موعد لإجراء تقييم مفصل.
تحياتي.